- news
- 2026.05.18
- 【完全ガイド】マウスピース矯正と仕事・社会生活の両立7つのコツ|調布

-
歯並びが気になり
自信を持って笑えない -
都内まで
通院するのが負担で
継続できるか不安 -
マスクを外す
機会が増え
口元が気になる -
痛みや違和感で
最後まで
続けられるか心配 -
歯並びが気になり
写真に写るのを
ためらってしまう -
接客や営業の場面で
より良い第一印象を
与えたい
調布歯科・矯正歯科の矯正治療で解決!
RESOLUTION!
-
01年間症例数307
安心・安全の
治療体制専門的な知識と技術を持つ歯科医師が担当します。
院内の厳しい基準をクリアした歯科医師のみが治療を行い、常に高い治療水準を維持しています。
※症例数は2023年1月〜12月の実績
-
02専門性の高い
歯科医師が担当確かな知識と経験に基づき、質の高いマウスピース矯正をご提供します。
-
03最先端技術による
精密治療光学スキャナーやCTを用い、三次元的な分析に基づく高精度な治療を行っています。
-
04矯正を軸にした
高度審美・
機能治療セラミック治療や咬合治療などを組み合わせ、専門性の高い審美・機能治療を一院で完結します。
マウスピース
矯正
CLEAR ALIGNER
ORTHODONTICS
-
- 高水準治療
- 矯正治療を専門とする歯科医師が担当し、専門性に基づいた治療を行っています。
-
- トータルケア
- 経験豊富な歯科医師が、カウンセリングから仕上げまで責任を持って対応します。
-
- 個別対応
- 患者さま一人ひとりの歯並びやライフスタイルに合わせた治療をご提案します。
-
- 安心
- 歯周病や虫歯治療を含め、口腔内をトータルでサポートできる体制を整えています。
魅せる笑顔を
手に入れる
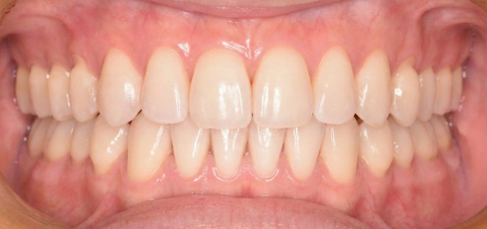
高度な診断と技術を持つ専門性のある歯科医師が担当したマウスピース矯正の一例
Before
After
マウスピース矯正(20代女性)
| 抜歯 | あり |
|---|---|
| 治療期間 | 2.5年 |
| 通院回数 | 12回 |
| 費用 | 1,023,150円 |
| リスク・副作用 | 歯根吸収、疼痛、咬合の変化、後戻りなど |
※本症例の結果は患者さま個々の状況により異なります

- 装置を目立たせずに矯正したい方
- 生活で口元を気にせず過ごしたい方
- 食事や歯磨きをこれまで通り行いたい方
- 痛みや違和感をできるだけ抑えたい方
- ワイヤー矯正に不安や抵抗がある方
- ご自身で取り外しながら調整したい方
マウスピース矯正の
メリット
Merit
-
01見た目の自然さ
透明な装置のため、周囲に気づかれにくい矯正方法です。
写真や動画撮影の際も目立ちにくく、安心して過ごせます。 -
02日常生活への
配慮取り外しが可能なため、食事や歯磨きもこれまで通り行えます。
日常生活への負担を抑えた矯正治療です。 -
03快適性・衛生面
ワイヤー矯正と比較して痛みや擦れが少なく、口腔内への負担を軽減します。
ご自宅で簡単にお手入れができ、衛生的に保てます。 -
04柔軟な治療計画
ライフスタイルに合わせて、無理のないペースで治療を進めることが可能です。
治療の流れ
Flow
-
01
矯正相談無料
-
02
精密検査
-
03
綿密な治療計画の立案・診断
-
04
虫歯や歯周病の治療
ブラッシングの練習 -
05
装置装着・調整
-
06
保定期間・定期チェック
マウスピース矯正の
料金
Price
| 相談料 | 無料 |
|---|---|
| 矯正検査・診断料 | 33,000円 |
| 基本料(調整料込み) | 98万2,500円 〜108万5,850円 |
その他、定定期的な歯周病予防のメンテナンスが必要になる方もいます。
3か月に1度程度 保険治療:3,000円程度
ワイヤー
矯正
WIRE
ORTHODONTICS
※画像はイメージです
日本矯正歯科学会
認定医の先生が担当
マウスピースでは難しい複雑な歯並びや噛み合わせの調整も、
ワイヤー矯正でしっかり整えられます。
ワイヤー矯正の
料金
Price
| 相談料 | 無料 |
|---|---|
| 矯正検査・診断料 | 33,000円 |
| 基本料(調整料込み) | 86万6,250円 〜133万9,250円 |
